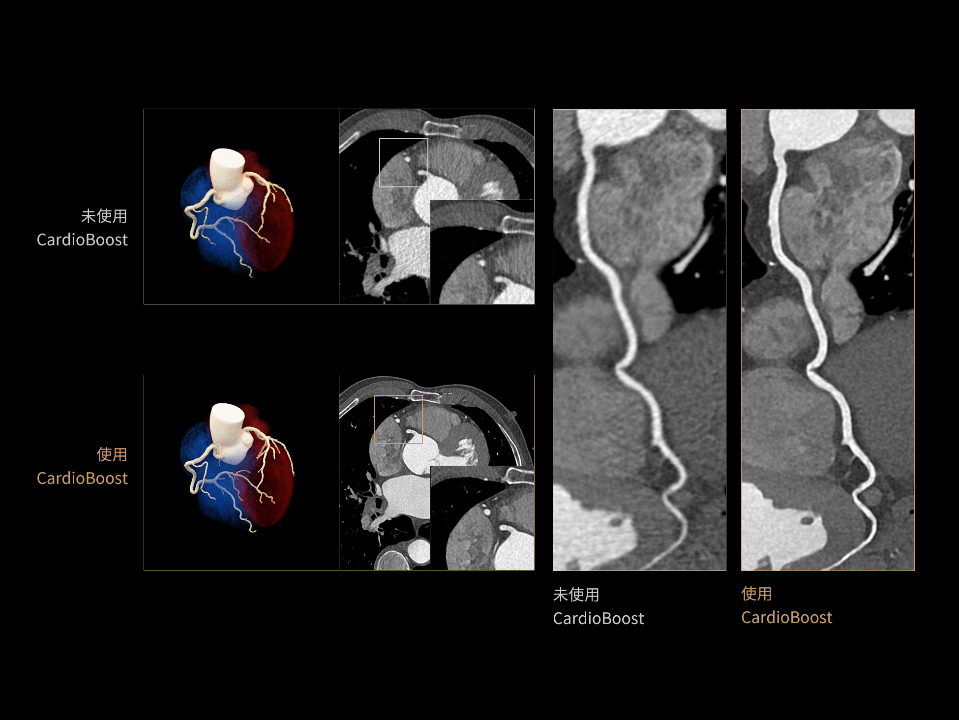
CardioBoost:专属网络设计,重塑心脏影像表现
相同辐射剂量下
低对比度分辨率提升
相同辐射剂量下
空间分辨率提升
相同低对比度分辨率下
辐射剂量减少
相同辐射剂量条件下
图像噪声减少
uCT 868 将人工智能深度融入 CT 成像的全链路流程,从采集、重建到后处理分析,实现智能技术与临床工作的自然协同。无需复杂操作,无感式介入,让AI 成为工作流程中默认的一环。从探测器的每一次感知,到影像重建的每一帧演算,再到临床交互的每一步路径,智能决策与精密硬件协同一体,大幅提升图像质量、诊断效率与操作一致性。uCT 868,不仅帮助医生看清更多,更让“如何做到”变得不再被感知,让精准、清晰、高效成为诊疗中的标准反应——这正是 uCT 868 所赋予的“本能级”影像体验。
uSense主动感知
AI解码原生真相
硬软件一体协作
AI智链急诊流程
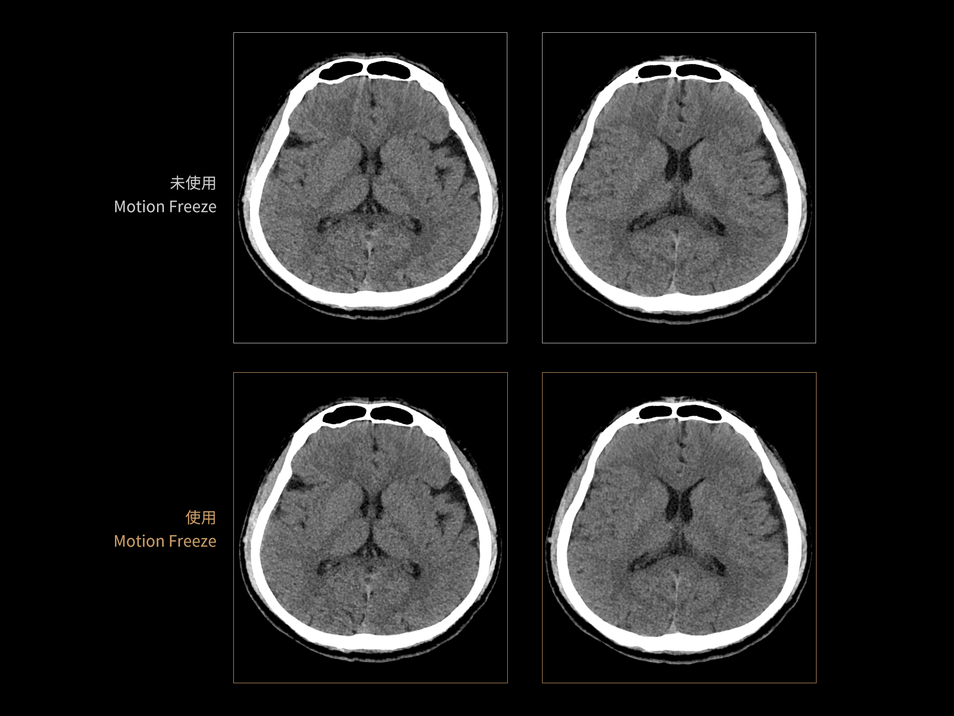
uCT 868 搭载联影最新一代 uSense 人工智能平台,将智能化深度融入 CT 扫描全流程,从感知细微生理运动到精细结构探测,再到多场景诊疗优化。以 AI 为核心驱动力,uSense 重塑成像各环节,打造高效、高清的智慧扫查体验。在心脏成像领域,uSense 结合宽体探测器、心脏专研AI重建算法与AI冠脉运动追焦技术,在保持低剂量的同时,有效抑制运动伪影,精准呈现软斑块、混合型斑块及支架细节,助力冠脉成像惠及更多患者。针对多科室疾病临床应用场景,uSense 平台提供全方位的智能解决方案:包括头部运动伪影智能校正、金属植入物伪影抑制、扫描视野扩展等先进算法。这些创新技术使 uCT 868 能够构建覆盖全场景的智能诊疗体系,持续拓展 AI 赋能医学影像的边界。
相同辐射剂量下
低对比度分辨率提升
相同辐射剂量下
空间分辨率提升
相同低对比度分辨率下
辐射剂量减少
相同辐射剂量条件下
图像噪声减少
CT值准确性※ ※
相较传统算法,重建速度提高50%以上※ ※
在高端CT系统中,对速度与图像质量的要求早已不局限于常规检查,更延伸至复杂、挑战性更高的临床场景。临床常见的急性病症覆盖多个专科领域,包括心血管、神经系统以及创伤急症。这些领域疾病通常起病突然、进展迅速,对成像速度、覆盖范围、图像质量及诊断效率提出极高要求。
作为高端CT解决方案平台,uCT 868 凭借高速扫描能力、宽体探测器、AI驱动重建算法和智能工作流,能够从容应对上述急症场景下的多部位、多模式联合检查需求。不论是冠脉、主动脉与肺动脉的一站式成像,还是卒中的快速识别,亦或是全身创伤评估中的快速定位与精细结构显示,uCT 868 均能以高速、清晰、低剂量的成像表现,助力临床在关键时刻做出快速而准确的诊断判断,赢得宝贵救治时间。
*后处理工作站独立于CT注册
*后处理工作站独立于CT注册